浜松市浜名区(旧浜北区)のやさしい歯医者

〒434-0038 静岡県浜松市浜名区貴布祢534-11
遠鉄線美薗中央公園駅より徒歩5分

診療時間
9:00~12:30 ×
14:00~18:30 ×

△:9:00~13:00/15:00~17:00(第2・第4土曜日)
休診日:日曜・祝日・土曜日の午後(第1・第3土曜日)

インビザラインGOの症例

※自費診療です。

貴布祢・美薗中央公園駅近くの「きぶね歯科医院」がインビザラインGO(マウスピース矯正)の症例をご紹介します。

叢生の症例

Before

浜松市・浜名区・美園中央公園駅のインビザラインGOの症例

After

浜松市・浜名区・美園中央公園駅のインビザラインGOの症例

Y・K 様 女性 30代

出っ歯が気になる、下の歯のデコボコを治したい

治療の期間・回数:R5.8/29~R6.12/16
治療の価格:440,000円
治療のリスクや副作用:歯磨き等のセルフケアを怠ると虫歯や歯周病のリスクが高くなります。装着時間を守らないと計画通りに歯が動かない、治療期間が延びる場合があります。矯正治療が完了した後は後戻りを防ぐために保定装置を装着します。保定装置を正しく使用しないと再度矯正治療が必要になる可能性があります。歯とあごのバランスによってはご自身の歯を削る場合があります(削る量は個人差があります)。まれに歯の根が短くなる可能性があります。装置装着後、痛みを感じることがあります(歯が動く正常な反応なので心配ありません)。頬の粘膜・唇・舌などに、口内炎ができることがあります。歯周病等で歯茎が下がっている方は、歯を動かすことでさらに歯茎が下がる可能性があります。重なっていた歯がきれいに並んだことで歯茎と両隣の歯との間に三角形の隙間ができる可能性があります。

叢生の症例

Before

浜松市・浜名区・美園中央公園駅のインビザラインGOの症例

After

浜松市・浜名区・美園中央公園駅のインビザラインGOの症例

W・E 様 女性 20代

下の歯がガタガタなのが気になる、左上中切歯と側切歯の重なりが気になる

治療の期間・回数:R5.9/5~R7.3/4
治療の価格:440,000円
治療のリスクや副作用:歯磨き等のセルフケアを怠ると虫歯や歯周病のリスクが高くなります。装着時間を守らないと計画通りに歯が動かない、治療期間が延びる場合があります。矯正治療が完了した後は後戻りを防ぐために保定装置を装着します。保定装置を正しく使用しないと再度矯正治療が必要になる可能性があります。歯とあごのバランスによってはご自身の歯を削る場合があります(削る量は個人差があります)。まれに歯の根が短くなる可能性があります。装置装着後、痛みを感じることがあります(歯が動く正常な反応なので心配ありません)。頬の粘膜・唇・舌などに、口内炎ができることがあります。歯周病等で歯茎が下がっている方は、歯を動かすことでさらに歯茎が下がる可能性があります。重なっていた歯がきれいに並んだことで歯茎と両隣の歯との間に三角形の隙間ができる可能性があります。

空隙歯列の症例

Before

浜松市・浜名区・美園中央公園駅のインビザラインGOの症例

After

浜松市・浜名区・美園中央公園駅のインビザラインGOの症例

K・R 様 女性 30代

隙間、特に下の歯の隙間が気になる

治療の期間・回数:R5.5/27~R6.9/24
治療の価格:440,000円
治療のリスクや副作用:歯磨き等のセルフケアを怠ると虫歯や歯周病のリスクが高くなります。装着時間を守らないと計画通りに歯が動かない、治療期間が延びる場合があります。矯正治療が完了した後は後戻りを防ぐために保定装置を装着します。保定装置を正しく使用しないと再度矯正治療が必要になる可能性があります。歯とあごのバランスによってはご自身の歯を削る場合があります(削る量は個人差があります)。まれに歯の根が短くなる可能性があります。装置装着後、痛みを感じることがあります(歯が動く正常な反応なので心配ありません)。頬の粘膜・唇・舌などに、口内炎ができることがあります。歯周病等で歯茎が下がっている方は、歯を動かすことでさらに歯茎が下がる可能性があります。重なっていた歯がきれいに並んだことで歯茎と両隣の歯との間に三角形の隙間ができる可能性があります。

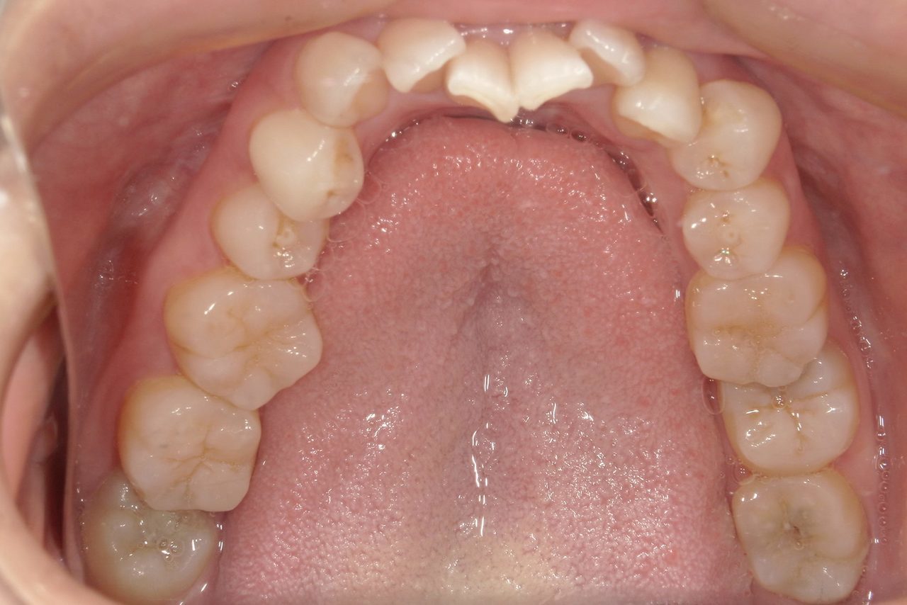
捻転の症例

Before

浜松市・浜名区・美園中央公園駅のインビザラインGOの症例

After

浜松市・浜名区・美園中央公園駅のインビザラインGOの症例

S・Y 様 女性 30代

前歯がガタガタしているのが気になる

治療の期間・回数:R4.7/2~R5.8/2
治療の価格:440,000円
治療のリスクや副作用:歯磨き等のセルフケアを怠ると虫歯や歯周病のリスクが高くなります。装着時間を守らないと計画通りに歯が動かない、治療期間が延びる場合があります。矯正治療が完了した後は後戻りを防ぐために保定装置を装着します。保定装置を正しく使用しないと再度矯正治療が必要になる可能性があります。歯とあごのバランスによってはご自身の歯を削る場合があります(削る量は個人差があります)。まれに歯の根が短くなる可能性があります。装置装着後、痛みを感じることがあります(歯が動く正常な反応なので心配ありません)。頬の粘膜・唇・舌などに、口内炎ができることがあります。歯周病等で歯茎が下がっている方は、歯を動かすことでさらに歯茎が下がる可能性があります。重なっていた歯がきれいに並んだことで歯茎と両隣の歯との間に三角形の隙間ができる可能性があります。

反対咬合・八重歯の症例

Before

浜松市・浜名区・美園中央公園駅のインビザラインGOの症例

After

浜松市・浜名区・美園中央公園駅のインビザラインGOの症例

H・Y 様 女性 10代

八重歯が歯列から飛び出しているのが気になる、右下側切歯が内側に入っているのが気になる

治療の期間・回数:R4.2/26~R5.8/7
治療の価格:440,000円
治療のリスクや副作用:歯磨き等のセルフケアを怠ると虫歯や歯周病のリスクが高くなります。装着時間を守らないと計画通りに歯が動かない、治療期間が延びる場合があります。矯正治療が完了した後は後戻りを防ぐために保定装置を装着します。保定装置を正しく使用しないと再度矯正治療が必要になる可能性があります。歯とあごのバランスによってはご自身の歯を削る場合があります(削る量は個人差があります)。まれに歯の根が短くなる可能性があります。装置装着後、痛みを感じることがあります(歯が動く正常な反応なので心配ありません)。頬の粘膜・唇・舌などに、口内炎ができることがあります。歯周病等で歯茎が下がっている方は、歯を動かすことでさらに歯茎が下がる可能性があります。重なっていた歯がきれいに並んだことで歯茎と両隣の歯との間に三角形の隙間ができる可能性があります。

貴布祢・美薗中央公園駅でマウスピース矯正「インビザラインGO」の治療をお探しなら、「きぶね歯科医院」へ。当院は美薗中央公園駅から近く、アクセス便利な歯科医院です。長期にわたる矯正歯科治療も、無理なく通院いただけます。

浜松市 浜名区のやさしい歯医者さん、きぶね歯科(美園中央公園駅)

医療法人社団誠和会 きぶね歯科医院 院長 丹羽 三津子

資格
  • 歯科医師
  • きぶね保育園 園医
  • 北浜北小学校 校医
  • 介護保険審査認定委員
  • 全国共通がん医科歯科連携医

検診・歯石取り・歯のクリーニング・フッ素塗布などもご予約いただけます。3ヶ月先のご予約もお気軽にどうぞ。

053-585-3500

R6,1月より働き方改革の一環として
当院では、休憩時間の電話対応を
留守番電話対応】とさせていただきます。恐れ入りますが、お問い合わせ・ご予約については、診療時間内にご連絡下さい。
尚キャンセルのご連絡は、留守番電話にメッセージを入れていただいても構いません。

診療時間

 
午前 ×
午後 × ×

午前:9:00~12:30
午後:14:00~18:30
△:土曜は9:00~13:00/
15:00~17:00(第2・第4土曜日)

休診日:日曜日・祝日
土曜日の午後(第1・第3土曜日)