浜松市浜名区(旧浜北区)のやさしい歯医者

〒434-0038 静岡県浜松市浜名区貴布祢534-11
遠鉄線美薗中央公園駅より徒歩5分

診療時間
9:00~12:30 ×
14:00~18:30 ×

△:9:00~13:00/15:00~17:00(第2・第4土曜日)
休診日:日曜・祝日・土曜日の午後(第1・第3土曜日)

インビザラインの症例

貴布祢・美薗中央公園駅近くの「きぶね歯科医院」がインビザラインの症例をご紹介します。

インビザラインの症例

Before

浜松市・浜名区・美園中央公園駅のインビザラインの症例
浜松市・浜名区・美園中央公園駅のインビザラインの症例

After

浜松市・浜名区・美園中央公園駅のインビザラインの症例
浜松市・浜名区・美園中央公園駅のインビザラインの症例

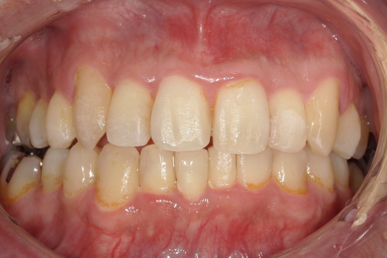
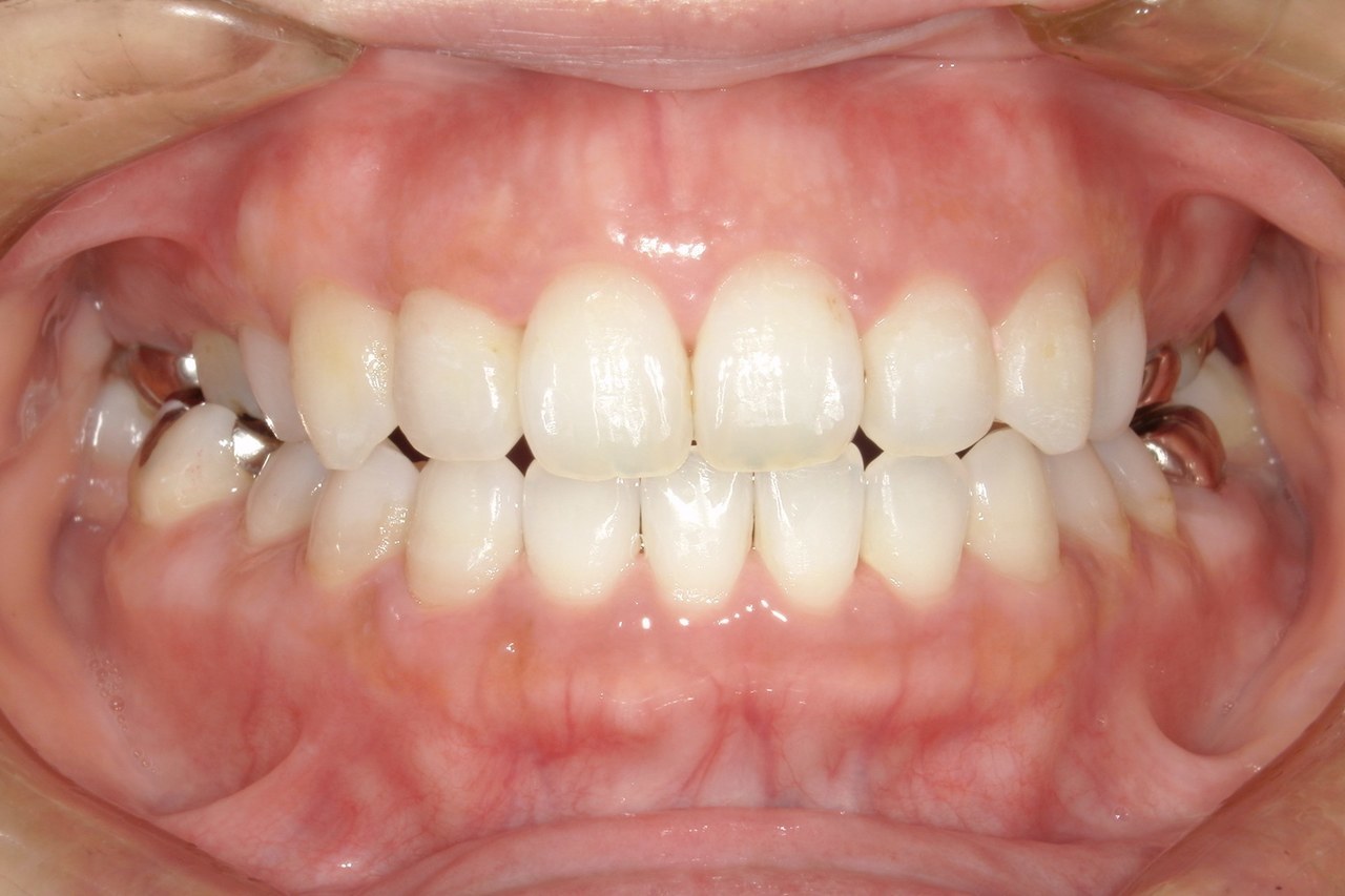
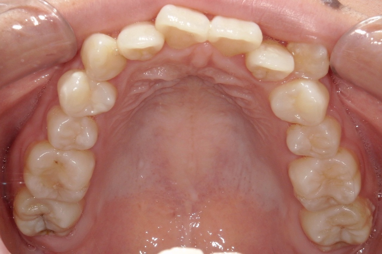
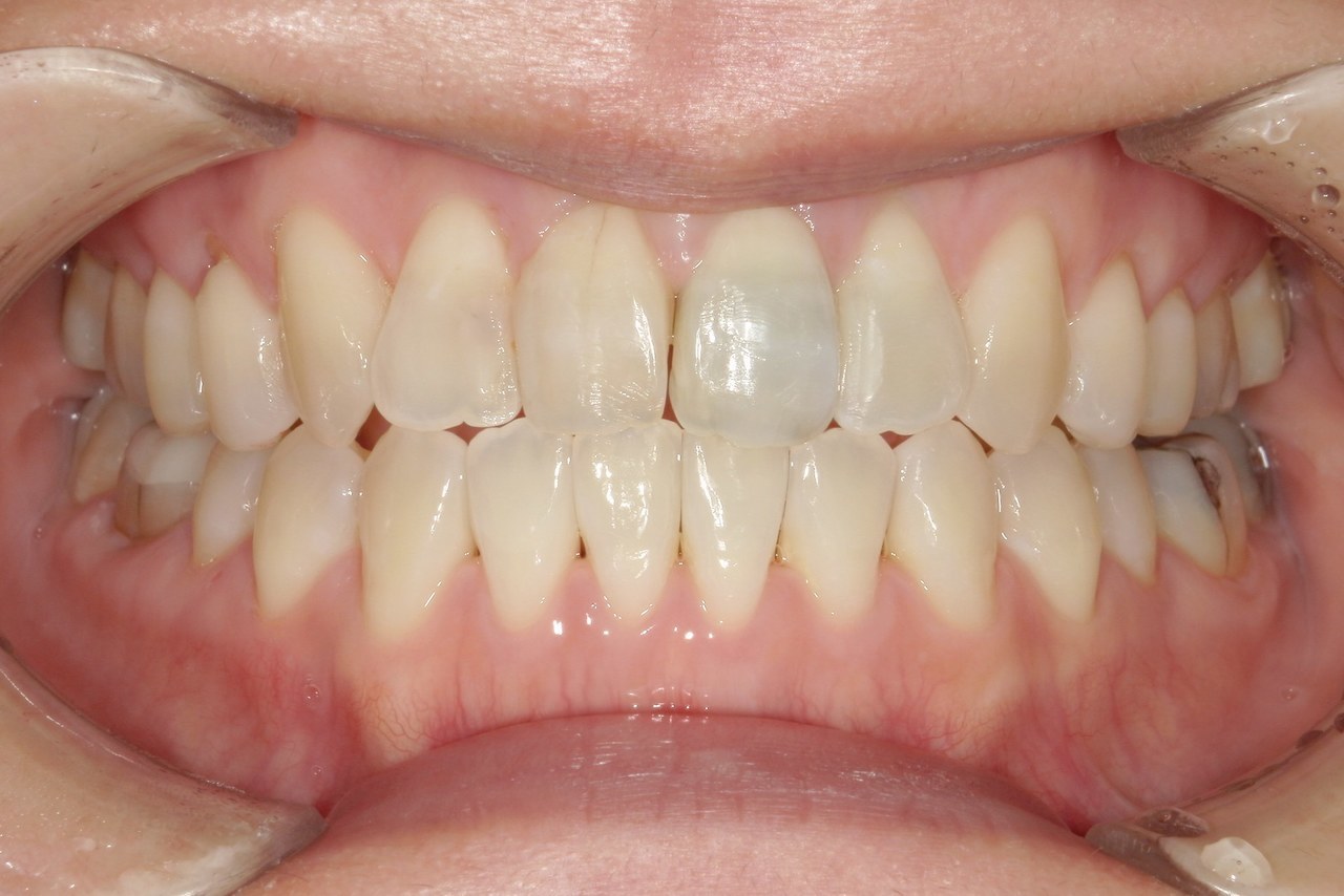
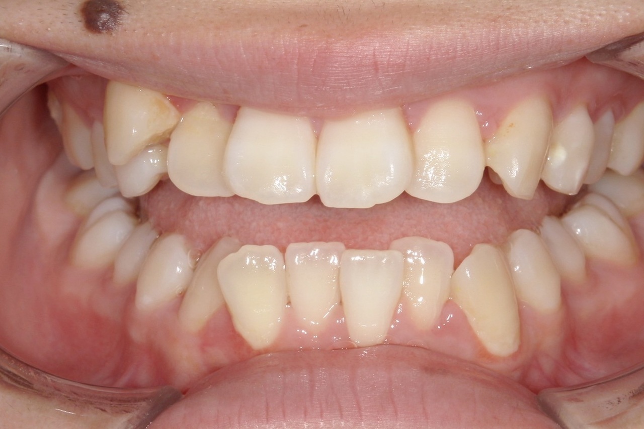
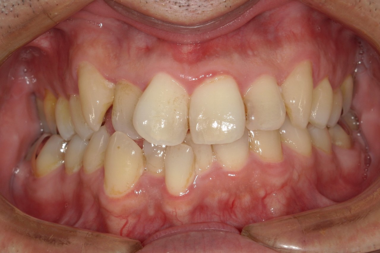
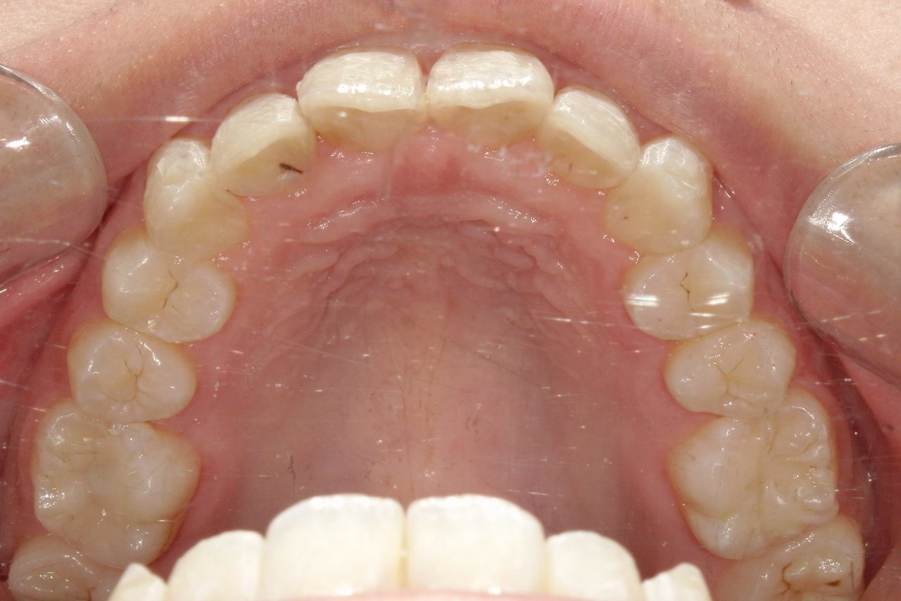
Y.T 40代男性

全体的に歯並びを治したいという主訴で来院されました。上顎左側中切歯(左上の真ん中の前歯)や犬歯などを回転させ、内側に移動させることで叢生を治療しました。

治療の期間:R5.5/16~R6.12/25
治療の価格:66万円
治療のリスクや副作用:歯磨き等のセルフケアを怠ると虫歯や歯周病のリスクが高くなります。装着時間を守らないと計画通りに歯が動かない、治療期間が延びる場合があります。矯正治療が完了した後は後戻りを防ぐために保定装置を装着します。保定装置を正しく使用しないと再度矯正治療が必要になる可能性があります。歯とあごのバランスによってはご自身の歯を削る場合があります(削る量は個人差があります)。まれに歯の根が短くなる可能性があります。装置装着後、痛みを感じることがあります(歯が動く正常な反応なので心配ありません)。頬の粘膜・唇・舌などに、口内炎ができることがあります。歯周病等で歯茎が下がっている方は、歯を動かすことでさらに歯茎が下がる可能性があります。重なっていた歯がきれいに並んだことで歯茎と両隣の歯との間に三角形の隙間ができる可能性があります。

インビザラインの症例

Before

浜松市・浜名区・美園中央公園駅のインビザラインの症例
浜松市・浜名区・美園中央公園駅のインビザラインの症例

After

浜松市・浜名区・美園中央公園駅のインビザラインの症例
浜松市・浜名区・美園中央公園駅のインビザラインの症例

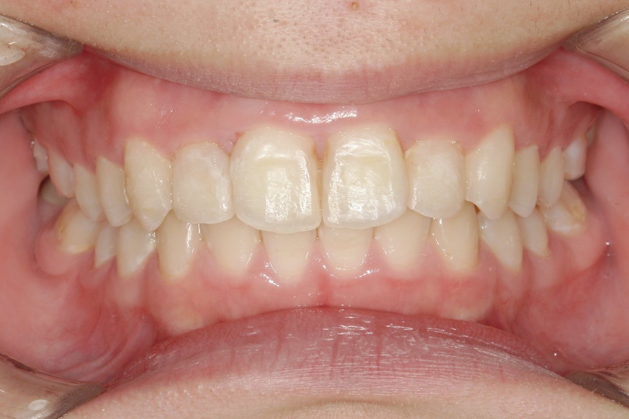
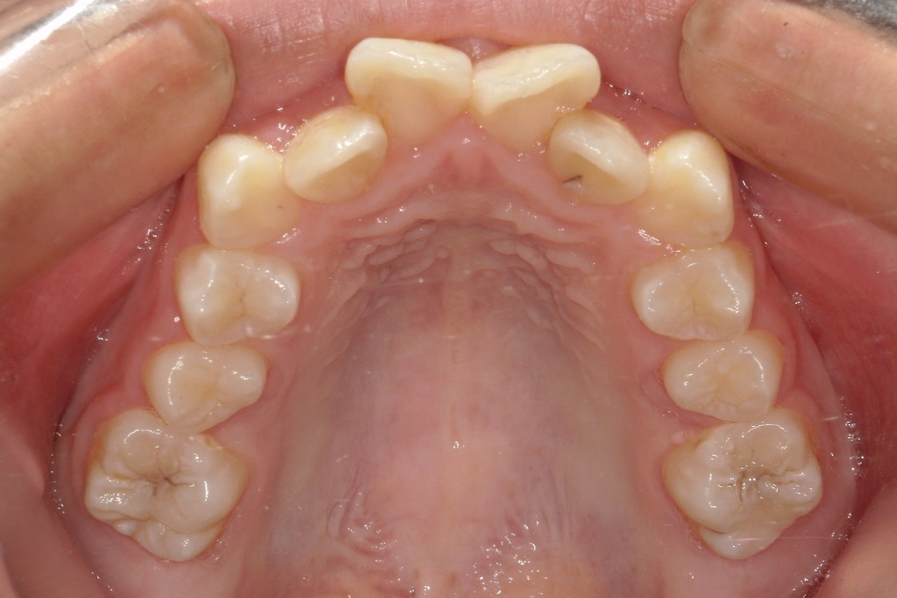
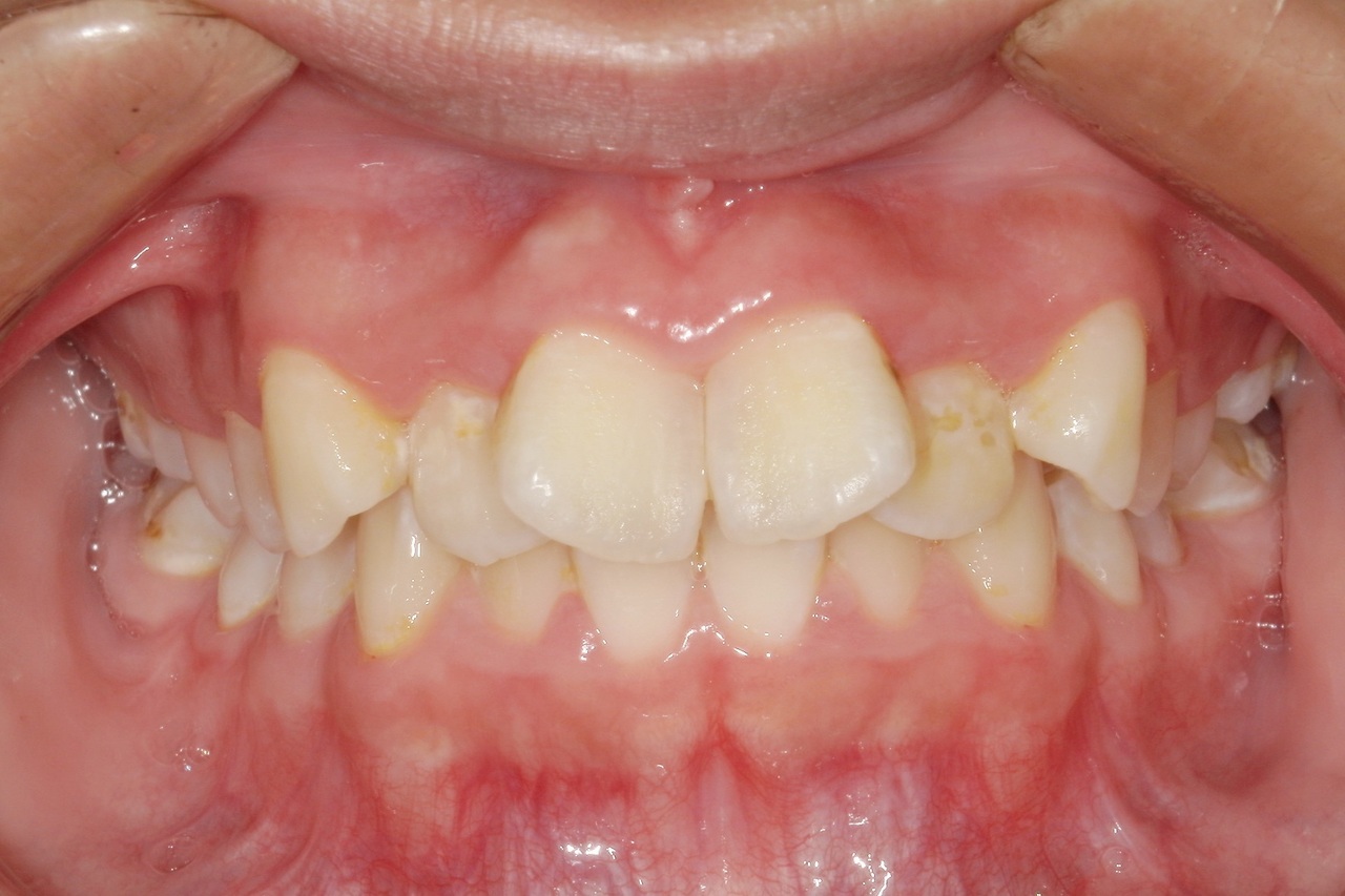
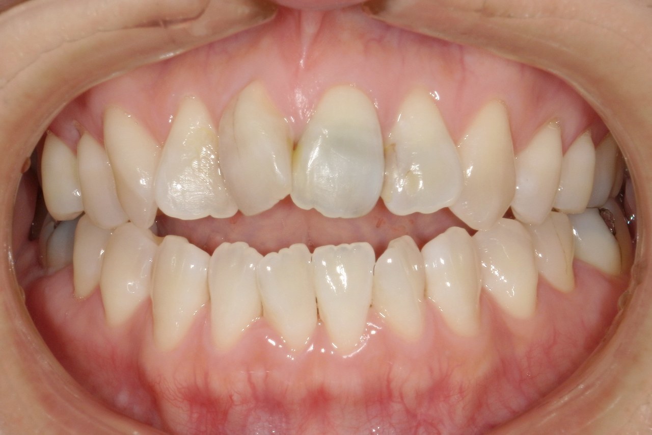
H.N 10代女性

前歯の向きと、犬歯が気になるとの主訴でご来院。前歯と犬歯を回転させ、叢生を治しました。

治療の期間:R4.8/26~R7.3/25
治療の価格:88万円
治療のリスクや副作用:歯磨き等のセルフケアを怠ると虫歯や歯周病のリスクが高くなります。装着時間を守らないと計画通りに歯が動かない、治療期間が延びる場合があります。矯正治療が完了した後は後戻りを防ぐために保定装置を装着します。保定装置を正しく使用しないと再度矯正治療が必要になる可能性があります。歯とあごのバランスによってはご自身の歯を削る場合があります(削る量は個人差があります)。まれに歯の根が短くなる可能性があります。装置装着後、痛みを感じることがあります(歯が動く正常な反応なので心配ありません)。頬の粘膜・唇・舌などに、口内炎ができることがあります。歯周病等で歯茎が下がっている方は、歯を動かすことでさらに歯茎が下がる可能性があります。重なっていた歯がきれいに並んだことで歯茎と両隣の歯との間に三角形の隙間ができる可能性があります。

インビザラインの症例

Before

浜松市・浜名区・美園中央公園駅のインビザラインの症例
浜松市・浜名区・美園中央公園駅のインビザラインの症例

After

浜松市・浜名区・美園中央公園駅のインビザラインの症例
浜松市・浜名区・美園中央公園駅のインビザラインの症例

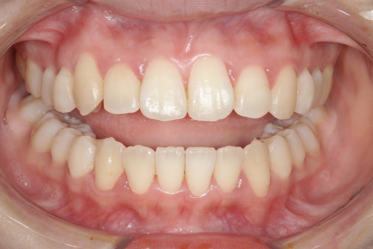
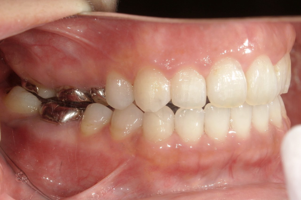
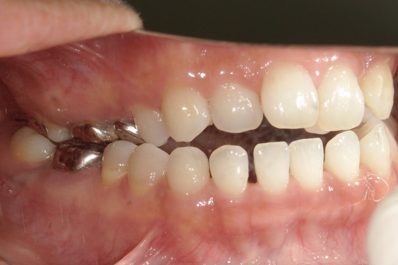
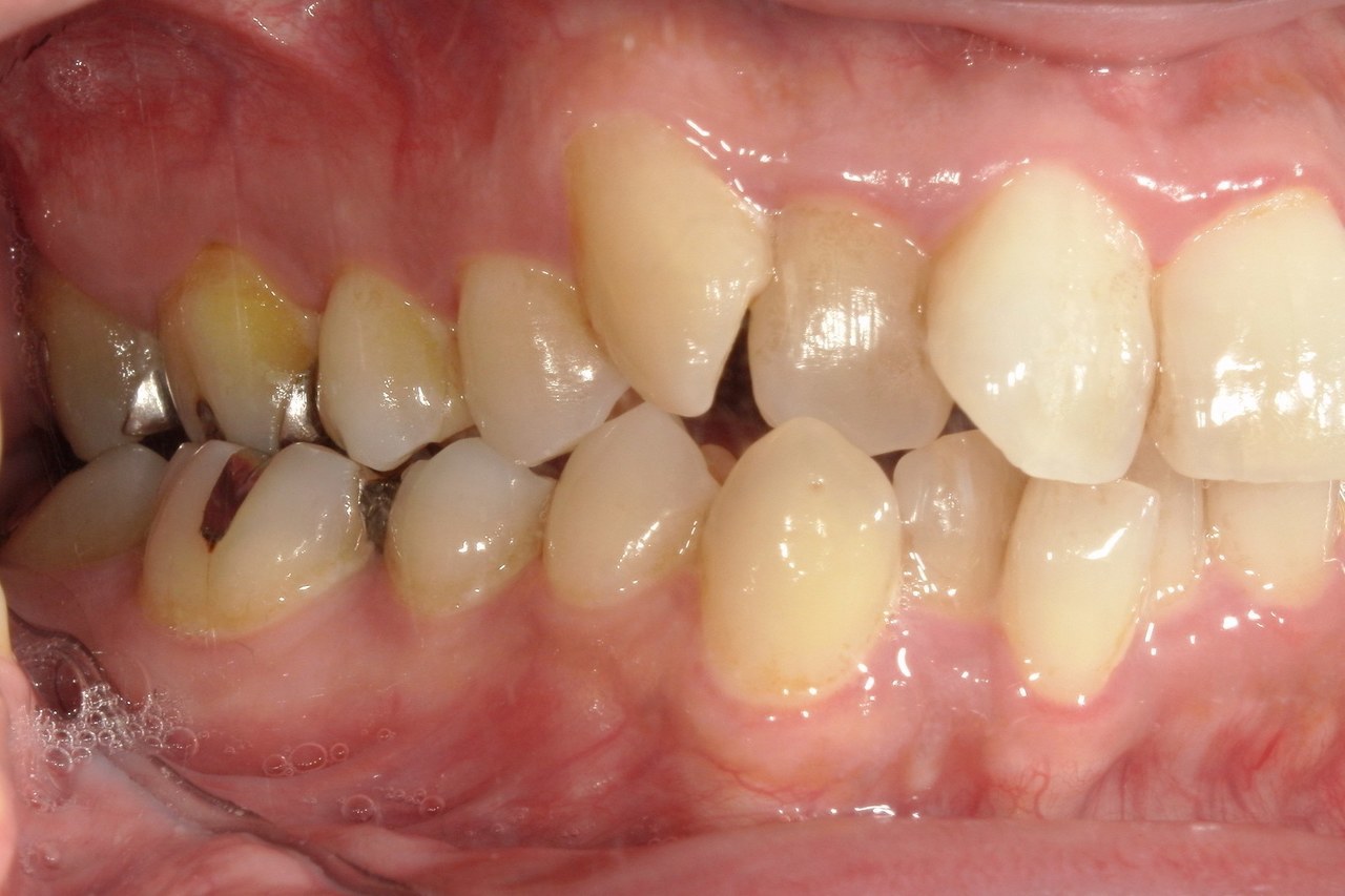
S.H 40代女性

右上の前から二番目の歯が後ろに引っ込んでいる、噛んだ時に前歯のところがすいてしまうのが気になるとの主訴で来院されました。
右上二番目の前歯を前方に移動させて、前歯を咬み合わせることで開咬と叢生を治療しました。

治療の期間:R4.10/11~R5.10/17
治療の価格:66万円
治療のリスクや副作用:歯磨き等のセルフケアを怠ると虫歯や歯周病のリスクが高くなります。装着時間を守らないと計画通りに歯が動かない、治療期間が延びる場合があります。矯正治療が完了した後は後戻りを防ぐために保定装置を装着します。保定装置を正しく使用しないと再度矯正治療が必要になる可能性があります。歯とあごのバランスによってはご自身の歯を削る場合があります(削る量は個人差があります)。まれに歯の根が短くなる可能性があります。装置装着後、痛みを感じることがあります(歯が動く正常な反応なので心配ありません)。頬の粘膜・唇・舌などに、口内炎ができることがあります。歯周病等で歯茎が下がっている方は、歯を動かすことでさらに歯茎が下がる可能性があります。重なっていた歯がきれいに並んだことで歯茎と両隣の歯との間に三角形の隙間ができる可能性があります。

インビザラインの症例

Before

浜松市・浜名区・美園中央公園駅のインビザラインの症例
浜松市・浜名区・美園中央公園駅のインビザラインの症例

After

浜松市・浜名区・美園中央公園駅のインビザラインの症例
浜松市・浜名区・美園中央公園駅のインビザラインの症例

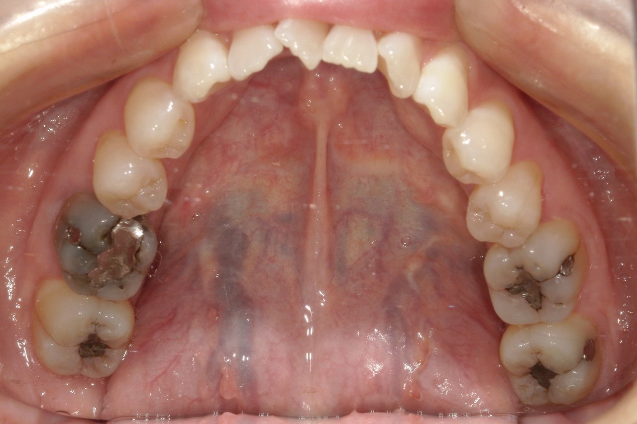
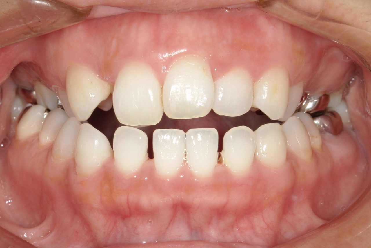
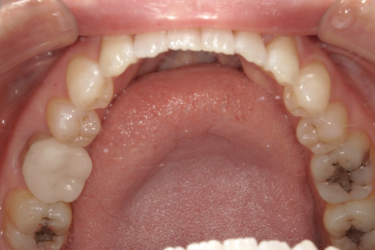
K.K 40代女性

全体がガタガタしているのと、噛み合っていない所を治したいという事だったので、全体的に叢生を治し、前歯を咬ませて開咬を治しました。

治療の期間:R4.11/7~R6.3/12
治療の価格:66万円
治療のリスクや副作用:歯磨き等のセルフケアを怠ると虫歯や歯周病のリスクが高くなります。装着時間を守らないと計画通りに歯が動かない、治療期間が延びる場合があります。矯正治療が完了した後は後戻りを防ぐために保定装置を装着します。保定装置を正しく使用しないと再度矯正治療が必要になる可能性があります。歯とあごのバランスによってはご自身の歯を削る場合があります(削る量は個人差があります)。まれに歯の根が短くなる可能性があります。装置装着後、痛みを感じることがあります(歯が動く正常な反応なので心配ありません)。頬の粘膜・唇・舌などに、口内炎ができることがあります。歯周病等で歯茎が下がっている方は、歯を動かすことでさらに歯茎が下がる可能性があります。重なっていた歯がきれいに並んだことで歯茎と両隣の歯との間に三角形の隙間ができる可能性があります。

インビザラインの症例

Before

浜松市・浜名区・美園中央公園駅のインビザラインの症例
浜松市・浜名区・美園中央公園駅のインビザラインの症例

After

浜松市・浜名区・美園中央公園駅のインビザラインの症例
浜松市・浜名区・美園中央公園駅のインビザラインの症例

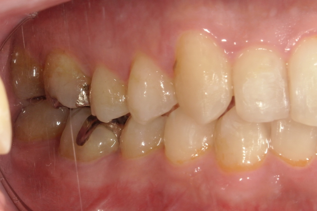
R.O 20代女性

八重歯が特に気になるとの主訴でご来院。右上の犬歯を内側に移動させ、全体の叢生を治療しました。

治療の期間:R3.10/12~R4.10/8
治療の価格:88万円
治療のリスクや副作用:歯磨き等のセルフケアを怠ると虫歯や歯周病のリスクが高くなります。装着時間を守らないと計画通りに歯が動かない、治療期間が延びる場合があります。矯正治療が完了した後は後戻りを防ぐために保定装置を装着します。保定装置を正しく使用しないと再度矯正治療が必要になる可能性があります。歯とあごのバランスによってはご自身の歯を削る場合があります(削る量は個人差があります)。まれに歯の根が短くなる可能性があります。装置装着後、痛みを感じることがあります(歯が動く正常な反応なので心配ありません)。頬の粘膜・唇・舌などに、口内炎ができることがあります。歯周病等で歯茎が下がっている方は、歯を動かすことでさらに歯茎が下がる可能性があります。重なっていた歯がきれいに並んだことで歯茎と両隣の歯との間に三角形の隙間ができる可能性があります。

貴布祢・美薗中央公園駅の「きぶね歯科医院」で快適な矯正歯科治療を受けてみませんか。マウスピース矯正「インビザライン」は目立ちにくく痛みも少ないため、日常生活に支障をきたしません。快適に美しい歯並びを目指せます。
 

浜松市・浜名区・美園中央公園駅のインビザラインの症例

医療法人社団誠和会 きぶね歯科 院長 丹羽 三津子

資格
  • 歯科医師
  • きぶね保育園 園医
  • 北浜北小学校 校医
  • 介護保険審査認定委員
  • 全国共通がん医科歯科連携医

検診・歯石取り・歯のクリーニング・フッ素塗布などもご予約いただけます。3ヶ月先のご予約もお気軽にどうぞ。

053-585-3500

R6,1月より働き方改革の一環として
当院では、休憩時間の電話対応を
留守番電話対応】とさせていただきます。恐れ入りますが、お問い合わせ・ご予約については、診療時間内にご連絡下さい。
尚キャンセルのご連絡は、留守番電話にメッセージを入れていただいても構いません。

診療時間

 
午前 ×
午後 × ×

午前:9:00~12:30
午後:14:00~18:30
△:土曜は9:00~13:00/
15:00~17:00(第2・第4土曜日)

休診日:日曜日・祝日
土曜日の午後(第1・第3土曜日)