浜松市浜名区(旧浜北区)のやさしい歯医者

〒434-0038 静岡県浜松市浜名区貴布祢534-11
遠鉄線美薗中央公園駅より徒歩5分

診療時間
9:00~12:30 ×
14:00~18:30 ×

△:9:00~13:00/15:00~17:00(第2・第4土曜日)
休診日:日曜・祝日・土曜日の午後(第1・第3土曜日)

当院のホワイトニングの症例

※自費診療になります。

貴布祢・美薗中央公園駅近くの「きぶね歯科医院」がホワイトニングの症例をご紹介します。

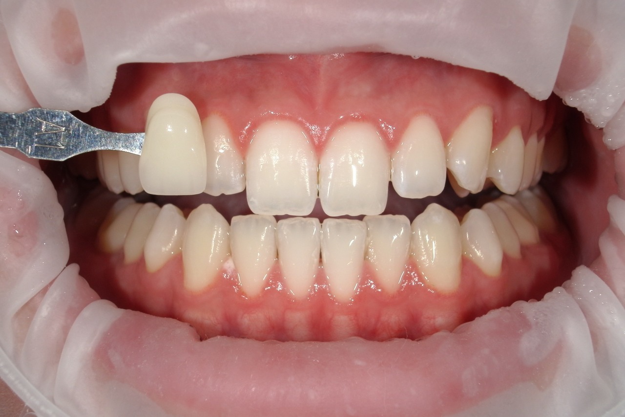
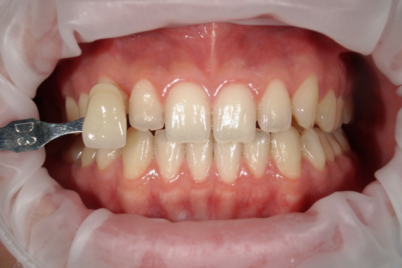
治療の症例

Before

浜松市・浜名区・美園中央公園駅のホワイトニングの症例

After

浜松市・浜名区・美園中央公園駅のホワイトニングの症例

O.A. 女性 30代

歯を白くしたい・値段が良かった

治療の期間・回数:2回
治療の価格:オフィスホワイトニング33,000円(終了後、別途ホームホワイトニング( 55,000円)も実施 )
治療のリスクや副作用:歯に白斑(白いまだら模様)が出る可能性があります。痛みや知覚過敏が起きる可能性があります(数日で改善することがほとんどです)。歯茎が一部白くなる可能性があります(数日で改善することがほとんどです)。

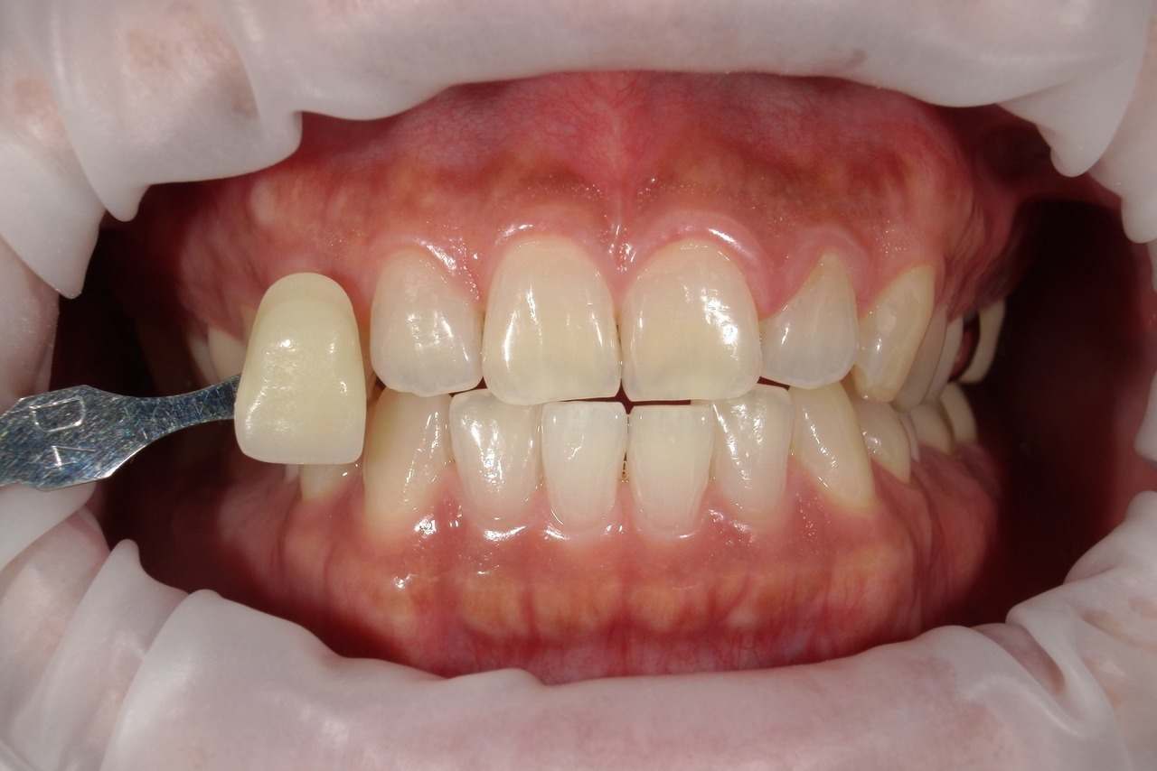
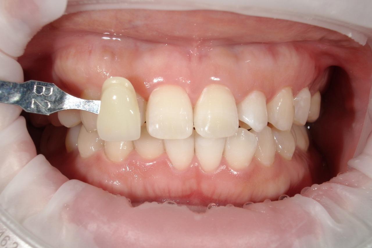
治療の症例

Before

浜松市・浜名区・美園中央公園駅のホワイトニングの症例

After

浜松市・浜名区・美園中央公園駅のホワイトニングの症例

W.R. 男性 20代

全体的に白くしたい

治療の期間・回数:2回
治療の価格:オフィスホワイトニング33,000円
治療のリスクや副作用:歯に白斑(白いまだら模様)が出る可能性があります。痛みや知覚過敏が起きる可能性があります(数日で改善することがほとんどです)。歯茎が一部白くなる可能性があります(数日で改善することがほとんどです)。

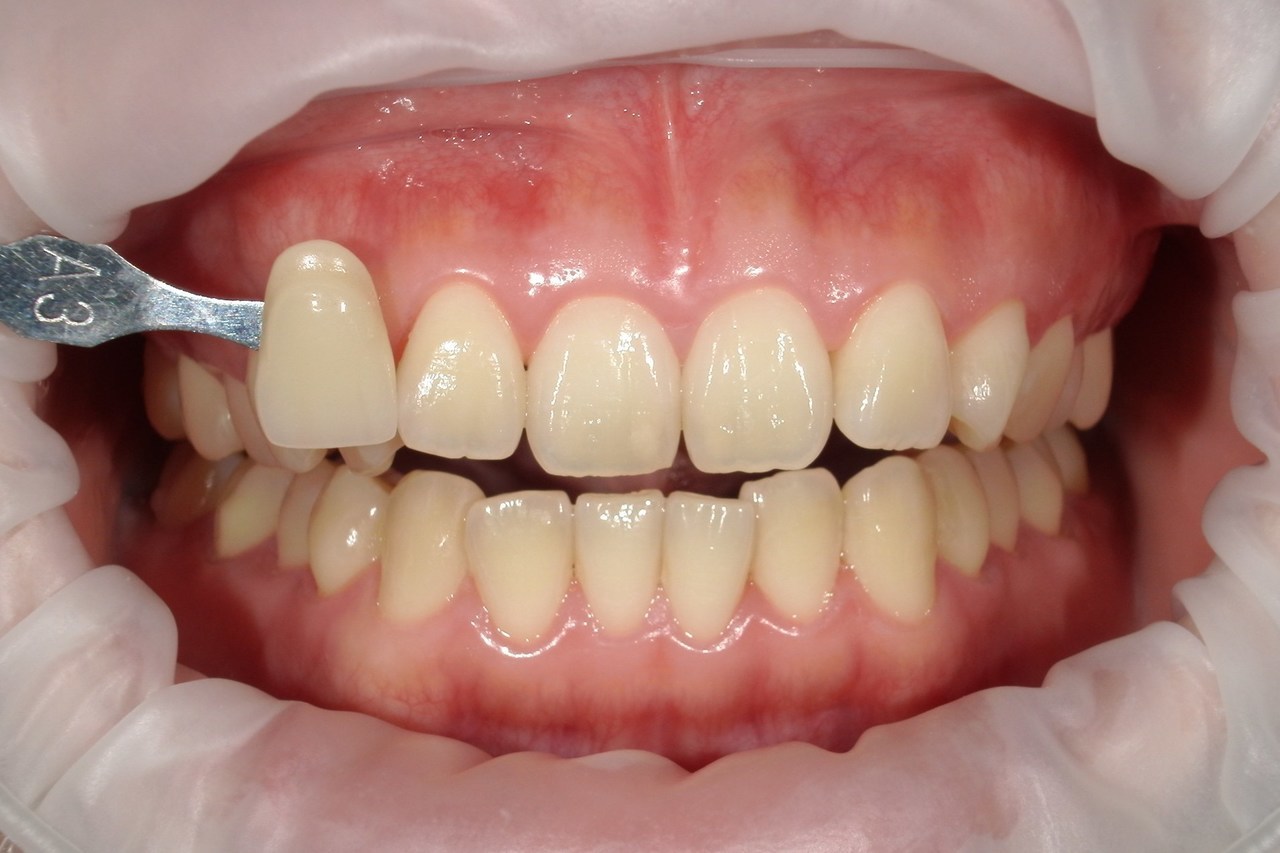
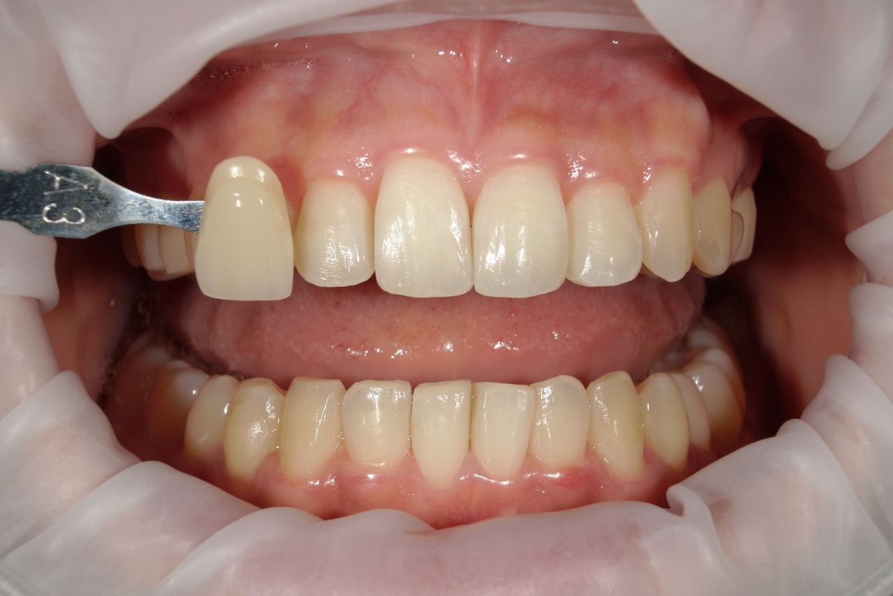
治療の症例

Before

浜松市・浜名区・美園中央公園駅のホワイトニングの症例

After

浜松市・浜名区・美園中央公園駅のホワイトニングの症例

T.Y. 男性 40代

白くしたい

治療の期間・回数:2回
治療の価格:オフィスホワイトニング33,000円
治療のリスクや副作用:歯に白斑(白いまだら模様)が出る可能性があります。痛みや知覚過敏が起きる可能性があります(数日で改善することがほとんどです)。歯茎が一部白くなる可能性があります(数日で改善することがほとんどです)。

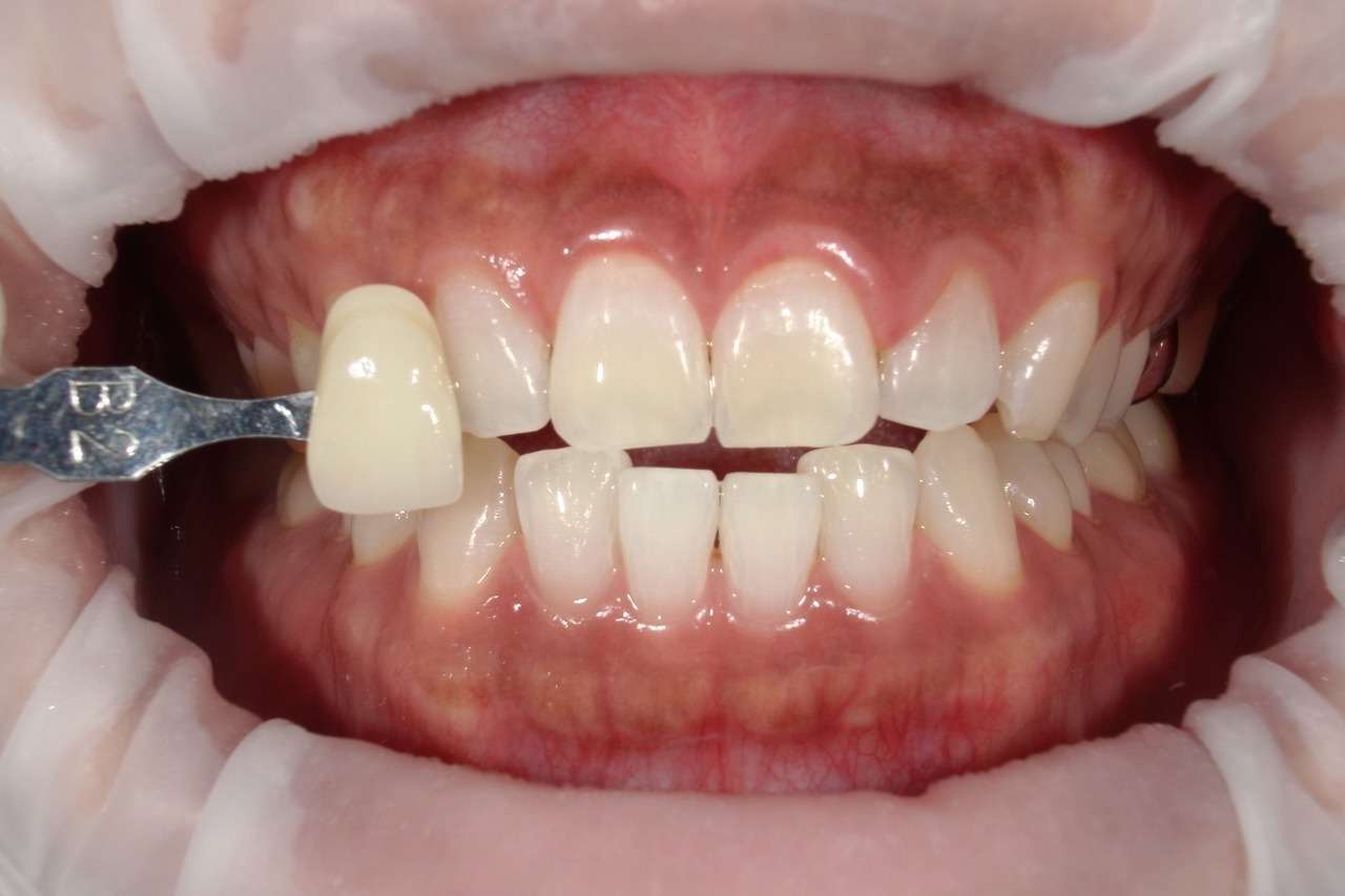
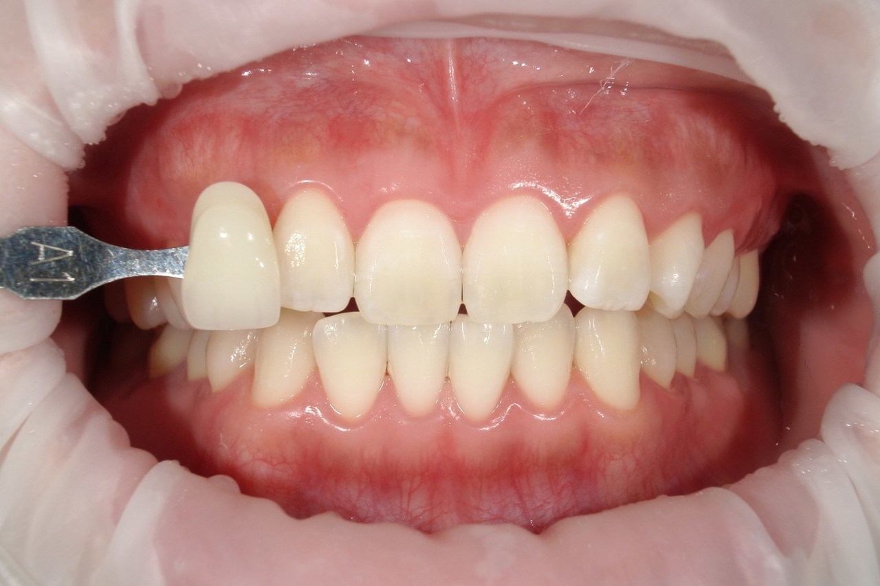
治療の症例

Before

浜松市・浜名区・美園中央公園駅のホワイトニングの症例

After

浜松市・浜名区・美園中央公園駅のホワイトニングの症例

H.M. 女性 30代

矯正が終わったので、ホワイトニングしたい

治療の期間・回数:2回
治療の価格:オフィスホワイトニング33,000円
治療のリスクや副作用:歯に白斑(白いまだら模様)が出る可能性があります。痛みや知覚過敏が起きる可能性があります(数日で改善することがほとんどです)。歯茎が一部白くなる可能性があります(数日で改善することがほとんどです)。

治療の症例

Before

浜松市・浜名区・美園中央公園駅のホワイトニングの症例

After

浜松市・浜名区・美園中央公園駅のホワイトニングの症例

M.S. 女性 20代

歯が黄色いのが気になる

治療の期間・回数:2回
治療の価格:オフィスホワイトニング33,000円
治療のリスクや副作用:歯に白斑(白いまだら模様)が出る可能性があります。痛みや知覚過敏が起きる可能性があります(数日で改善することがほとんどです)。歯茎が一部白くなる可能性があります(数日で改善することがほとんどです)。

貴布祢・美薗中央公園駅近くで歯を白くするホワイトニングをお探しなら、「きぶね歯科医院」がおすすめです。忙しくて歯医者に通う時間がない方にも、ライフスタイルに合った方法をご提案します。施術の種類や値段についてもお気軽に問合せください。

浜松市・浜名区・美園中央公園駅のホワイトニングの症例

医療法人社団誠和会 きぶね歯科医院 院長 丹羽 三津子

資格
  • 歯科医師
  • きぶね保育園 園医
  • 北浜北小学校 校医
  • 介護保険審査認定委員
  • 全国共通がん医科歯科連携医

検診・歯石取り・歯のクリーニング・フッ素塗布などもご予約いただけます。3ヶ月先のご予約もお気軽にどうぞ。

053-585-3500

R6,1月より働き方改革の一環として
当院では、休憩時間の電話対応を
留守番電話対応】とさせていただきます。恐れ入りますが、お問い合わせ・ご予約については、診療時間内にご連絡下さい。
尚キャンセルのご連絡は、留守番電話にメッセージを入れていただいても構いません。

診療時間

 
午前 ×
午後 × ×

午前:9:00~12:30
午後:14:00~18:30
△:土曜は9:00~13:00/
15:00~17:00(第2・第4土曜日)

休診日:日曜日・祝日
土曜日の午後(第1・第3土曜日)