浜松市浜名区(旧浜北区)のやさしい歯医者

〒434-0038 静岡県浜松市浜名区貴布祢534-11
遠鉄線美薗中央公園駅より徒歩5分

診療時間
9:00~12:30 ×
14:00~18:30 ×

△:9:00~13:00/15:00~17:00(第2・第4土曜日)
休診日:日曜・祝日・土曜日の午後(第1・第3土曜日)

当院の歯ぎしり治療
(ナイトガード)

歯ぎしりの治療
(ナイトガード)とは?

ナイトガードは、睡眠中の歯ぎしりや食いしばりから歯やあごを守るマウスピース型の装置です。上あごに装着することで噛み合う力を分散させ、歯やあごへのダメージを軽減します。

歯ぎしりや食いしばりは、歯の摩耗や破折、知覚過敏、歯周病、顎関節症(がくかんせつしょう)などのリスクを高めます。これらの癖は睡眠中に無意識に行われ、自力で止めることは困難です。そのため、歯科医院で作製する装置での保護が重要です。

ナイトガードは、歯ぎしりや食いしばりの強さに応じた硬さを選ぶことが大切。保険診療で作製できますので、お気軽にご相談ください。

歯ぎしりの治療
(ナイトガード)は
こんな方におすすめ

以下のような症状がある方は、歯ぎしりや食いしばりが原因かもしれません。 

  • 家族に歯ぎしりを指摘されたことがある  
  • 頬の内側や舌の縁に歯型がついている  
  • 寝ている間に頬や舌を噛んでしまう  
  • 口が開けにくい、開け閉めで音がする  
  • あごに違和感や痛みがある  
  • 起きたときに歯が浮いたような感じがする  
  • 歯の噛む面がすり減ってきた  
  • 詰め物がよく外れたり壊れたりする  

これらの症状を放置すると、歯やあごに深刻なダメージを与える可能性があります。心当たりのある方は、早めの対処をおすすめします。

まず歯ぎしりの原因を知る

浜松市・浜名区・美園中央公園駅の歯ぎしり治療(ナイトガード)

歯ぎしりの主な原因として、ストレス、睡眠障害、生活習慣、噛み合わせの悪さ、一部の薬の副作用などが挙げられます。中でもストレスは、歯ぎしりと密接な関係があるとされています。

歯ぎしりを改善するには、ストレスの解消や生活習慣の見直し、睡眠環境の改善などが有効です。ただし、これらはすぐに改善できるものではありません。また、歯ぎしりは睡眠中に無意識に起こるため、意識して防ぐのも困難です。

ナイトガードを使用するなど、原因や影響を知った上で、歯ぎしりを軽減できるよう取り組むことが大切です。

歯ぎしり・食いしばりの
影響

浜松市・浜名区・美園中央公園駅の歯ぎしり治療(ナイトガード)

一般的に、食事の際の噛む力は約20kgと言われています(※)。また、日常生活で上下の歯が接触している時間は、食事や会話を含めたわずかな時間に限られます。

※日本歯科医師会2010年6月15日発行「歯の学校」より。

しかし、歯ぎしりや食いしばりがある場合、睡眠中の数時間にわたり、食事の際にかかる噛む力の数倍から数十倍もの強い力が歯にかかり続けることに。この強い力が歯やあごに大きな負担を与え、以下のような様々な問題を引き起こします。

歯周病が悪化
浜松市・浜名区・美園中央公園駅の歯ぎしり治療(ナイトガード)

歯ぎしりによって歯が揺れると、あごの骨が減って歯周病が進行しやすくなります。

歯が削れる
浜松市・浜名区・美園中央公園駅の歯ぎしり治療(ナイトガード)

歯の表面のエナメル質が削れ、冷たいものに敏感になります。知覚過敏や虫歯のリスクも高まります。

顎関節症の原因
浜松市・浜名区・美園中央公園駅の歯ぎしり治療(ナイトガード)

顎関節(がくかんせつ)や咬筋(こうきん:あごを動かす筋肉)に負担がかかり、口を開け閉めする際に痛みが生じることがあります。

また、あごのガタつきや、「カクカク」「ポキッ」といったクリック音が起こる場合もあります。

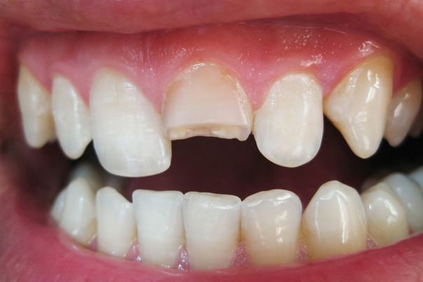
歯が折れる・欠ける
浜松市・浜名区・美園中央公園駅の歯ぎしり治療(ナイトガード)

歯冠(歯の頭の部分)や歯根(歯の根っこ)の破折が起こります。歯根破折(しこんはせつ:歯の根っこにヒビが入ったり割れたりする状態)の場合は、抜歯になるケースが多くあります。

被せ物が割れる・外れる
浜松市・浜名区・美園中央公園駅の歯ぎしり治療(ナイトガード)

強い横揺れで被せ物が外れることがあります。セラミック製だと割れる場合もあります。

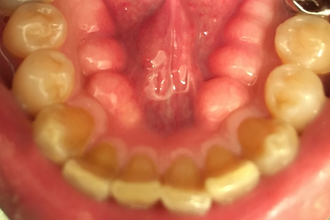
骨隆起が発生
浜松市・浜名区・美園中央公園駅の歯ぎしり治療(ナイトガード)

強い噛みしめや歯ぎしりなど、力が過剰にかかることで骨が発達し、口蓋(こうがい:お口の中の上側の部分)や下あごの舌側で骨が盛り上がります。これを骨隆起(こつりゅうき)と呼び、入れ歯を作る際に削るケースもあります。

 

このような様々なお口のトラブルは、早期の対策が大切です。

歯ぎしり対策の
ナイトガードは保険適用

浜松市・浜名区・美園中央公園駅の歯ぎしり治療(ナイトガード)

当院では、歯ぎしり対策のナイトガードを保険診療で作製できます。3割負担の場合、費用は5,000円程度です。

一般的にナイトガードの素材は大きく分けて2つあり、柔らかいものと硬いものがあります。しっかりと効果を発揮できるよう、当院は硬めの素材で作製しています。

型どり後、1〜2週間程度でナイトガードをお渡し可能です。毎日のお手入れは、起床後に歯磨き粉をつけずに歯ブラシで洗うだけなので簡単です。洗浄剤を使うと臭いや変色を防げるだけでなく、さらに清潔に保てます。

ナイトガードを使用することで、お口の中の粘膜の保護だけでなく、歯のすり減りやあごの関節への負担軽減にもつながります。

歯ぎしりや食いしばりでお悩みの方は、お気軽にご相談ください。

ナイトガードの
チェックと確認

浜松市・浜名区・美園中央公園駅の歯ぎしり治療(ナイトガード)

ナイトガードをお渡しした後は1週間後に再度ご来院いただき、チェックや調整を行います。当院では、その後も定期検診の都度ナイトガードをお持ちくださるようご案内しています。

ナイトガードは毎日使うものです。使っているうちに劣化や亀裂などが生じることがありますが、ご自身ではなかなか気づきにくいものです。定期的に状態を確認すれば、快適にご使用いただけます。

また、必要に応じて新しいものへ作り直すタイミングもしっかりご提案。ナイトガードが初めての方でも、長く無理なく使い続けられるよう丁寧にフォローしていますので、気になる方はお気軽にご相談ください。

歯ぎしりの治療
(ナイトガード)の
よくあるご質問

ナイトガードは
保険適用ですか?

はい。健康保険が適用されます。3割負担の方の場合、約4,000〜5,000円で作製できます。

ナイトガードのお手入れは
どうしたらいいですか?

外した後は水道水で洗ってください。柔らかめの歯ブラシを使って洗うこともできますが、その際に歯磨き粉を使うのは避けてください。また、変形につながるため、熱湯消毒も控えてください。マウスピース用の洗浄剤を使用して浸け置きすれば、臭いや汚れを軽減できます。

ナイトガードを作り直す目安は?

ナイトガードが黄色く変色してきたり、穴が開いたりした場合は作り直しの目安です。作り直しの時期をお伝えできますので、定期検診の都度お持ちいただくことをおすすめします。

歯ぎしりや食いしばりの治療ができる歯科医院をお探しなら、貴布祢・美薗中央公園駅近くの「きぶね歯科医院」へご相談ください。「ナイトガード(マウスピース)」を保険適用で作製します。

浜松市・浜名区・美園中央公園駅の歯ぎしり治療(ナイトガード)

医療法人社団誠和会 きぶね歯科医院 院長 丹羽 三津子

資格
  • 歯科医師
  • きぶね保育園 園医
  • 北浜北小学校 校医
  • 介護保険審査認定委員
  • 全国共通がん医科歯科連携医

検診・歯石取り・歯のクリーニング・フッ素塗布などもご予約いただけます。3ヶ月先のご予約もお気軽にどうぞ。

053-585-3500

R6,1月より働き方改革の一環として
当院では、休憩時間の電話対応を
留守番電話対応】とさせていただきます。恐れ入りますが、お問い合わせ・ご予約については、診療時間内にご連絡下さい。
尚キャンセルのご連絡は、留守番電話にメッセージを入れていただいても構いません。

診療時間

 
午前 ×
午後 × ×

午前:9:00~12:30
午後:14:00~18:30
△:土曜は9:00~13:00/
15:00~17:00(第2・第4土曜日)

休診日:日曜日・祝日
土曜日の午後(第1・第3土曜日)